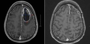
أفاد موقع “لايف رو” الروسي أن علماء من معهد علم الخلايا وعلم الوراثة، فرع سيبيريا التابع لأكاديمية العلوم الروسية، قاموا باختبار طريقة جديدة لعلاج ورم في الدماغ على الفئران عبر حقنها بفيروس زيكا.
ووفقا للمصدر ذاته ،فقد وجد العلماء ، خلال هذه التجربة ،أن الفيروس يهاجم الخلايا السرطانية ويبطئ نموها، من دون التسبب في ضرر كبير لبقية الجسم، حيث قاموا بحقن الخلايا السرطانية تحت الجلد، ويعتزم العلماء تكرار التجربة، حيث ستكون الخلايا السرطانية في الدماغ.
واضاف المصدر نفسه ،أنه في حال تأكيد النتائج، فإن هذا سيؤدي إلى إمكانية تطوير استراتيجية علاجية لعلاج أورام الدماغ لدى البشر. وأكد العلماء أن طريقة العلاج هذه لن تكون على مبدأ حقن المريض بفيروس زيكا بشكل كامل، وإنما تطوير عقار يعتمد على الفيروس ولا يشكل أي خطر على جسم الإنسان.
وفي وقت سابق، تمكن فريق دولي بقيادة باحثة مصرية في كلية بايلور للطب، بتطوير استراتيجية جديدة للتغلب على واحدة من العقبات الرئيسة في علاج سرطان الدماغ، وهي الوصول إلى الورم.
وأكد أستاذ مشارك في الدراسة، الباحث في مركز العلاج بالخلايا والجينات، التابع لمستشفى تكساس الأمريكي في كلية بايلور للطب، نبيل أحمد، أن الآلية الجديدة تمهد الطريق للخلايا المناعية،
و.م.ع.ح.ك

التعليقات مغلقة.